普通会员
登录
专家专栏
健康分类
学银在线
DICOM知识库
高级三维软件
免费压缩图片
文库
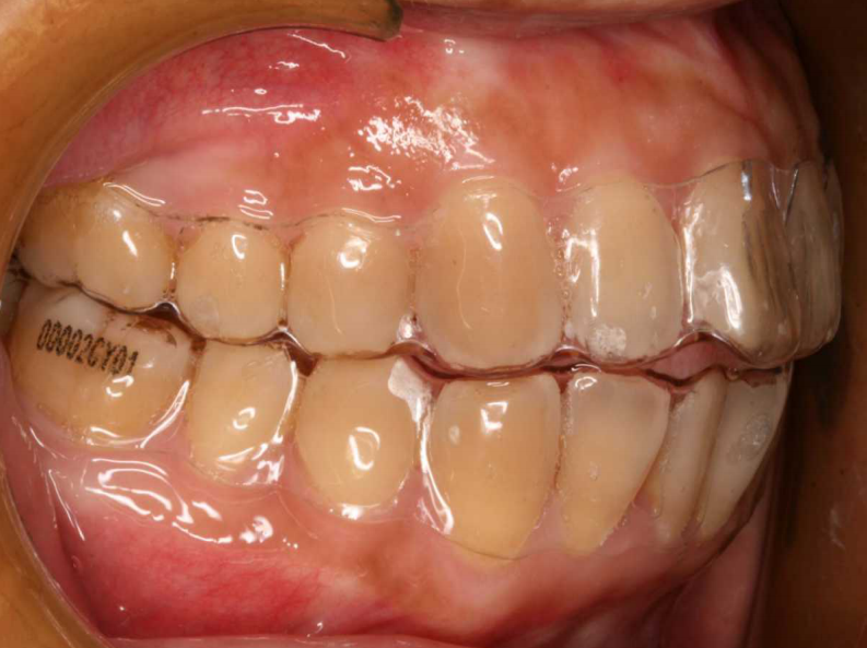
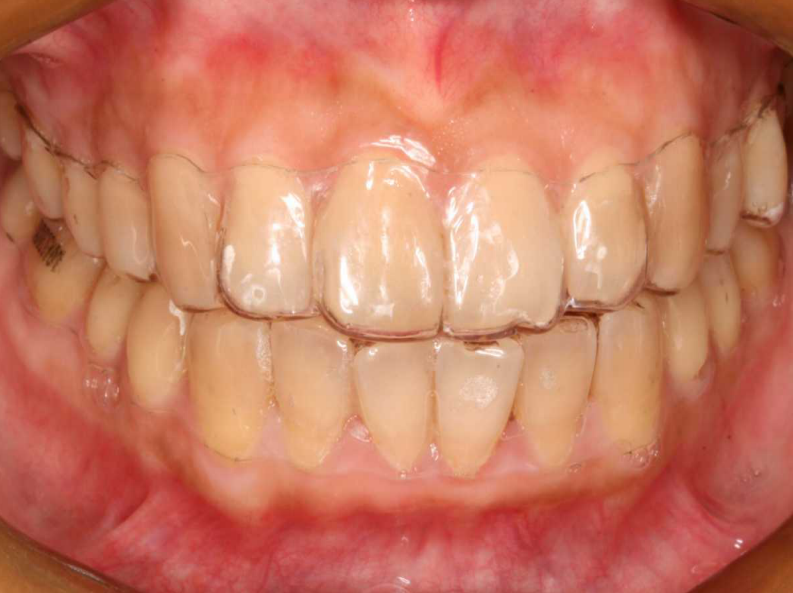
口腔医学
口腔正畸
大川分享_隐形正畸临床体会.pdf
134页
下载0
2024-11-06
浏览84
收藏0
喜欢0
评分-
免费文档
温馨提示:当前文档最多只能预览 5 页,若文档总页数超出了 5 页,请下载原文档以浏览全部内容。
剩余129页未读,
下载浏览全部
收藏
已收藏
喜欢
已喜欢
JIANG
这个人很懒,什么都没留下
未认证用户
查看用户
该文档于
上传
推荐文档
最新文档
Tip-Edge矫正技术.pdf
ilizarov技术-畸形矫正原理与图解.pdf
系统化正畸治疗技术.pdf
Tweed-Merrifield 定向力矫治技术图谱 第2卷.pdf
TIP-EDGE PLUS直丝弓正畸.pdf
Smart Cliptm自锁托槽矫治器系统概念和生物....pdf
正畸学专业术语大全(1).pdf
正畸学专业术语大全.pdf
正畸微种植体支抗:临床应用指南.pdf
大川分享_牙齿矫正ABC_.pdf