普通会员
登录
专家专栏
健康分类
学银在线
DICOM知识库
高级三维软件
免费压缩图片
文库
临床医学
期刊
AJO-DO
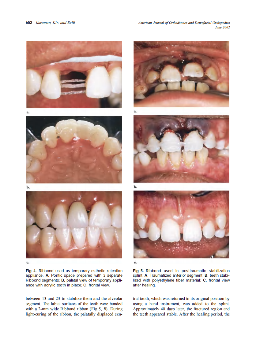
2002_121_6_650_654_Karaman.pdf
AJO_DO
5页
下载0
2024-08-21
浏览82
收藏0
喜欢0
评分-
免费文档
收藏
已收藏
喜欢
已喜欢
菁菁
这个人很懒,什么都没留下
未认证用户
查看用户
该文档于
上传
推荐文档
2008_133_1_133_181_[first_author].pdf
最新文档
1-s2.0-S0889540613004290-main.pdf
1-s2.0-S0889540613004289-main.pdf
1-s2.0-S0889540613004265-main.pdf
1-s2.0-S0889540613003934-main.pdf
1-s2.0-S0889540613003922-main.pdf
1-s2.0-S0889540613003880-main.pdf
1-s2.0-S0889540613003879-main.pdf
1-s2.0-S0889540613003636-main.pdf
1-s2.0-S0889540613003387-main.pdf
1-s2.0-S0889540613003375-main.pdf