普通会员
登录
专家专栏
健康分类
学银在线
DICOM知识库
高级三维软件
免费压缩图片
文库
放射医学
中大放射
20210608_2【晨读结果公布】2021.06.07神经系统疾病——病例1:间变型少突胶质细胞瘤;病例2:PCNSL;病例3:胼胝体急性梗死.pdf
28页
下载0
2023-11-29
浏览194
收藏0
喜欢0
评分-
免费文档
温馨提示:当前文档最多只能预览 5 页,若文档总页数超出了 5 页,请下载原文档以浏览全部内容。
剩余23页未读,
下载浏览全部
收藏
已收藏
喜欢
已喜欢
秦清
秦清
未认证用户
查看用户
该文档于
上传
推荐文档
最新文档
20190415_1【中大放射住培系列讲座第57期】脑脓肿的诊断与鉴别.pdf
20210620_2“星火计划”中大放射对比剂安全应用系列培训(第二期)成功举办!.pdf
20190128_1【2018住培系列讲座第47期】纵隔分区及常见纵隔占位的影像诊断.pdf
20200627_1【中大放射住培系列讲座】小肠恶性肿瘤的影像诊断思路.pdf
20210506_3【晨读结果公布】2021.05.06肌骨系统疾病——髌骨软化症.pdf
20190811_1【中大放射住培系列讲座第73期】肾脏感染性病变的影像学表现.pdf
20210611_2【晨读结果公布】2021.06.10多系统疾病——SLE相关疾病.pdf
20210525_2【晨读结果公布】2021.05.24生殖系统疾病——病例1病理倾向于炎性假瘤;病例2:子宫内膜样癌;病例3:宫颈富细胞性肌瘤.pdf
20210413_2【晨读结果公布】2021.04.13泌尿生殖系统疾病——肾上腺嗜铬细胞瘤.pdf
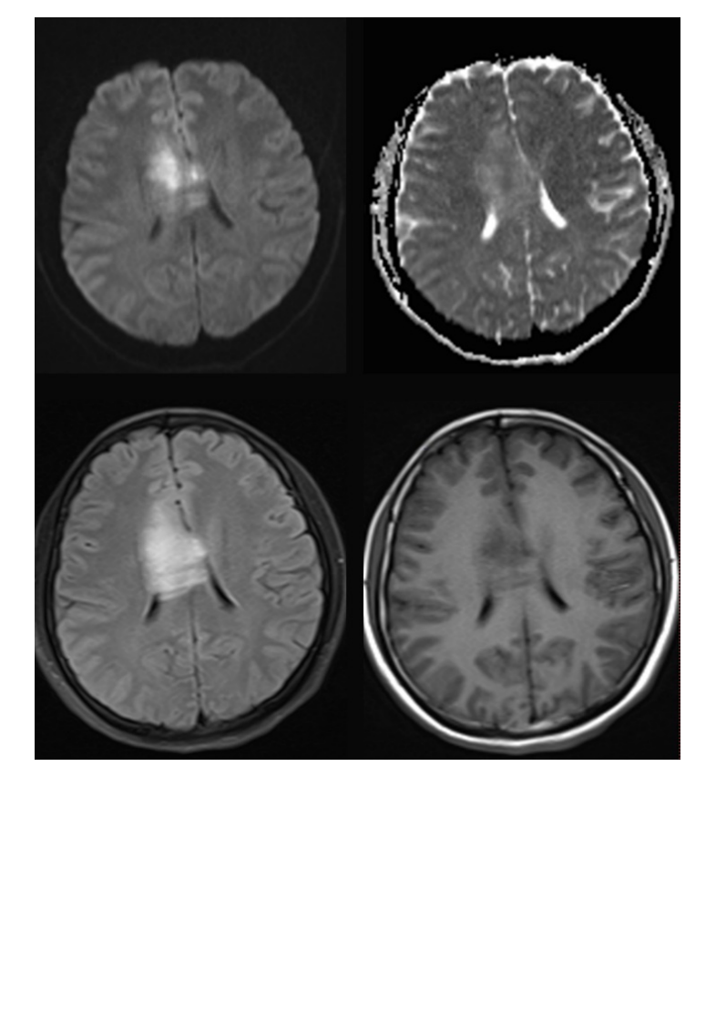
20201129_1【中大放射住培系列讲座】急性出血性脑血管病影像指导规范.pdf