普通会员
登录
专家专栏
健康分类
学银在线
DICOM知识库
高级三维软件
免费压缩图片
文库
放射医学
放射诊断
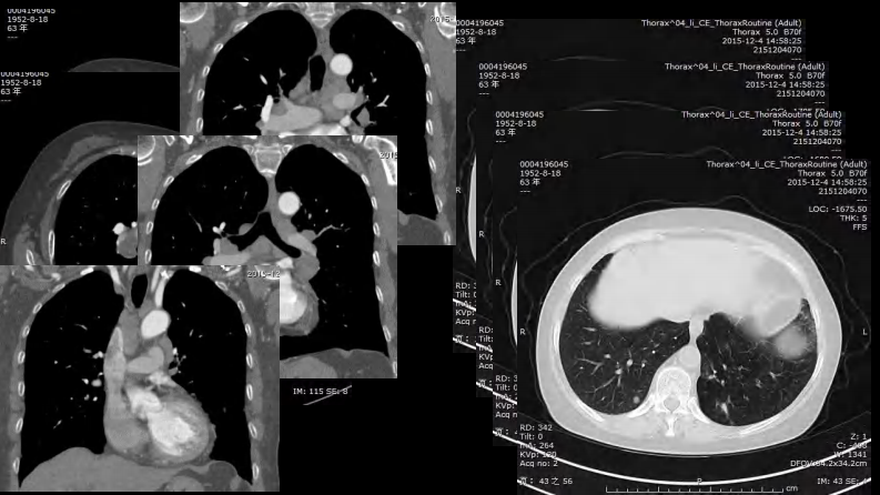
胸部结节病综合影像学交流.pdf
78页
下载0
2024-08-01
浏览182
收藏0
喜欢0
评分-
免费文档
温馨提示:当前文档最多只能预览 5 页,若文档总页数超出了 5 页,请下载原文档以浏览全部内容。
剩余73页未读,
下载浏览全部
收藏
已收藏
喜欢
已喜欢
菁菁
这个人很懒,什么都没留下
未认证用户
查看用户
该文档于
上传
推荐文档
最新文档
放射肿瘤学—治疗策略与实施(高清版).pdf
全息反射图.pdf
经颅多普勒检测与临床(第2版)(高清版).pdf
医学影像诊断学(第3版)-白人驹主编.pdf
第一章 影像诊断学总论.pdf
第一章 影像诊断学总论 第一节 X线成像.pdf
第一章 影像诊断学总论 第五节 分子影像学与核医学.pdf
第一章 影像诊断学总论 第四节 磁共振成像.pdf
第一章 影像诊断学总论 第三节 超声成像.pdf
第一章 影像诊断学总论 第六节 对比剂.pdf