普通会员
登录
专家专栏
健康分类
学银在线
DICOM知识库
高级三维软件
免费压缩图片
文库
放射医学
腹部学组
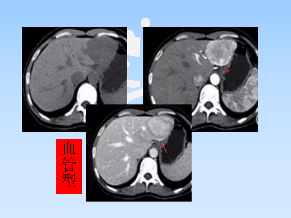
肝AML授课--曾蒙苏.ppt
45页
下载0
2023-05-07
浏览699
收藏0
喜欢0
评分-
免费文档
温馨提示:当前文档最多只能预览 5 页,若文档总页数超出了 5 页,请下载原文档以浏览全部内容。
剩余40页未读,
下载浏览全部
收藏
已收藏
喜欢
已喜欢
来福士
来福士
未认证用户
查看用户
该文档于
上传
推荐文档
克罗恩病合并肛瘘.ppt
克罗恩病CTE.ppt
沈宣文多排螺旋CT双期扫描对胰腺癌的诊断价值.pdf
最新文档
胰腺富血供占位诊断及鉴别诊断--张欢.pdf
小肠缺血性病变CT--王希明.pdf
肾脏乏脂性血管平滑肌脂肪瘤的影像表现及鉴别诊断--范国华.pdf
自身免疫性胰腺炎--陆建平.pdf
肾上腺嗜铬细胞瘤影像诊断及鉴别诊断—邢伟.pdf
肝AML授课--曾蒙苏.ppt
膀胱肿瘤(非移行上皮) 影像表现及病理—田为中主任.ppt
LI-RADS2018解读2019-9-21.pdf
螺旋CT在肝门部胆管细胞癌诊断中的价值探讨.pdf
克罗恩病合并肛瘘.ppt